عاجل
معلومات الجديد: الاجتماع الرباعي في باريس سيبحث حاجات الجيش ومتطلباته بانتظار اجراءات أكثر ملموسة بعملية حصر السلاح ينتظرها المجتمع الدولي
معلومات الجديد: الاجتماع الرباعي في باريس سيبحث حاجات الجيش ومتطلباته بانتظار اجراءات أكثر ملموسة بعملية حصر السلاح ينتظرها المجتمع الدولي
معلومات الجديد: اقتراح يجري التداول به لتمديد مهلة نزع السلاح من نهاية العام الى نهاية كانون الثاني إلا أن كل الامور تبقى رهن اللقاء المنتظر بين ترامب ونتنياهو
معلومات الجديد: اقتراح يجري التداول به لتمديد مهلة نزع السلاح من نهاية العام الى نهاية كانون الثاني إلا أن كل الامور تبقى رهن اللقاء المنتظر بين ترامب ونتنياهو
معلومات الجديد: المطلوب إعلان قيادة الجيش والحكومة اللبنانية صراحة الانتهاء من عملية حصر السلاح جنوب الليطاني
معلومات الجديد: المطلوب إعلان قيادة الجيش والحكومة اللبنانية صراحة الانتهاء من عملية حصر السلاح جنوب الليطاني
مصادر سياسية للجديد: الإقتراح يسعى الى نزع الذريعة من اسرائيل بالذهاب إلى خيار التصعيد تحت حجة عدم قيام الجيش اللبناني بما هو مطلوب منه
مصادر سياسية للجديد: الإقتراح يسعى الى نزع الذريعة من اسرائيل بالذهاب إلى خيار التصعيد تحت حجة عدم قيام الجيش اللبناني بما هو مطلوب منه
مصادر سياسية للجديد: الآلية تقضي بقيام الجيش اللبناني بتصوير وتوثيق المداهمات التي يقوم بها جنوب الليطاني لتقديمها للميكانيزم بالصوت والصورة وعرض خريطة لكل منطقة تم الانتهاء منها
مصادر سياسية للجديد: الآلية تقضي بقيام الجيش اللبناني بتصوير وتوثيق المداهمات التي يقوم بها جنوب الليطاني لتقديمها للميكانيزم بالصوت والصورة وعرض خريطة لكل منطقة تم الانتهاء منها
aljadeed-breaking-news
بالصورة - العثور على إبرة في رأس امرأة
بالصورة - العثور على إبرة في رأس امرأة
A-
A+

بالصورة - العثور على إبرة في رأس امرأة

2023-10-06 | 00:56
بالصورة - العثور على إبرة في رأس امرأة

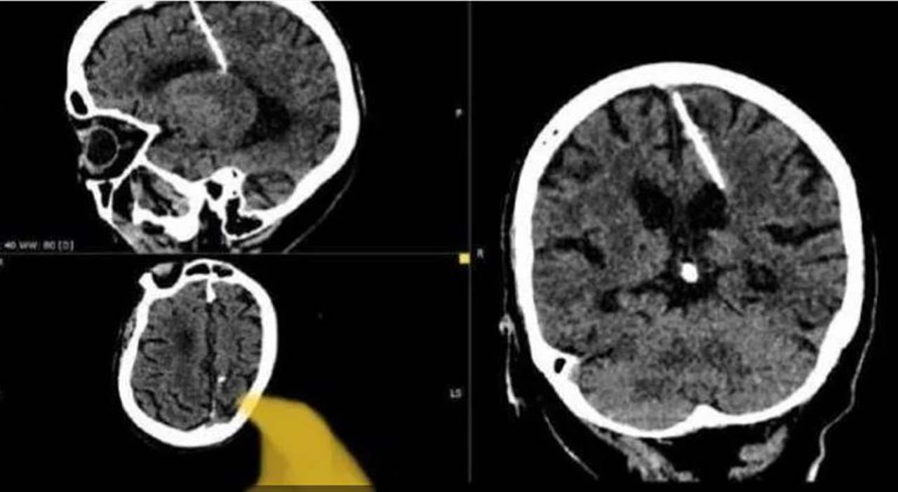
عثر أطباء خلال فحص بالتصوير المقطعي على إبرة بطول ثلاثة سنتيمترات موجودة منذ ثمانين عاماً داخل دماغ امرأة مسنّة في أقصى الشرق الروسي.


ويعتقد الأطباء أن المرأة تعرضت لمحاولة قتل فاشلة نفذها والداها خلال طفولتها، وقالوا إنهم لن يحاولوا إزالة الإبرة خشية أن يفاقم ذلك حالتها.

وقالت إدارة الصحة المحلية في منطقة سخالين الروسية النائية إنّ "مثل هذه الحالات كانت شائعة خلال سنوات المجاعة".


وأضافت أن والديها قررا على الأرجح التخلص من طفلتهما خلال الحرب العالمية الثانية، لأنها كانت تعيش مع إبرة يبلغ طولها ثلاثة سنتيمترات "منذ ولادتها".

ولفتت إلى أن هذه الطريقة كثيرا ما تُستخدم لإخفاء أدلة الجريمة.

وكان نقص الغذاء سائداً في جميع أنحاء الاتحاد السوفياتي خلال الحرب، وعاش الكثير من السكان في فقر مدقع.

وقالت إدارة الصحة المحلية "لقد اخترقت الإبرة الفص الجداري الأيسر، لكن لم يكن لها التأثير المقصود، إذ نجت الفتاة".

وأضافت أن المريضة لم تشكُ قط من الصداع بسبب الإصابة، ولم تكن تواجه أي خطر، لافتة إلى أن "حالتها تحت مراقبة الطبيب المعالج".
اخترنا لك
مرقص ناعيًا سكاف: حمل همّ البلد
2025-12-13
شيئاً مرعباً يحدث في أعماق البحر.. زلزال يهدد تركيا!
2025-12-13
في السراي الحكومي.. ضيافة ميلادية للوزراء
2025-12-12
علقت المظلة بجانح الطائرة!
2025-12-11
إشترك بنشرتنا الاخبارية
انضم الى ملايين المتابعين
Download Aljadeed Tv mobile application
حمّل تطبيقنا الجديد
كل الأخبار والبرامج في مكان واحد
شاهد برامجك المفضلة
تابع البث المباشر
الإلغاء في أي وقت
إحصل عليه من
Google play
تنزيل من
App Store
X
يستخدم هذا الموقع ملف الإرتباط (الكوكيز)
نتفهّم أن خصوصيتك على الإنترنت أمر بالغ الأهمية، وموافقتك على تمكيننا من جمع بعض المعلومات الشخصية عنك يتطلب ثقة كبيرة منك. نحن نطلب منك هذه الموافقة لأنها ستسمح للجديد بتقديم تجربة أفضل من خلال التصفح بموقعنا. للمزيد من المعلومات يمكنك الإطلاع على سياسة الخصوصية الخاصة بموقعنا للمزيد اضغط هنا
أوافق