أطباء يعثرون على إبرة في دماغ امرأة منذ 80 عاماً
أطباء يعثرون على إبرة في دماغ امرأة منذ 80 عاماً
A-
A+

أطباء يعثرون على إبرة في دماغ امرأة منذ 80 عاماً

2023-11-06 | 04:44
أطباء يعثرون على إبرة في دماغ امرأة منذ 80 عاماً
أطباء يعثرون على إبرة في دماغ امرأة منذ 80 عاماً

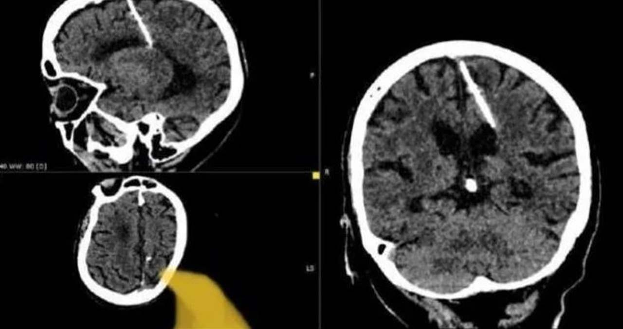
عثر أطباء روس خلال فحص بالتصوير المقطعي على إبرة بطول ثلاثة سنتيمترات موجودة منذ ثمانين عاماً داخل دماغ امرأة مسنّة في أقصى الشرق الروسي.

وبحسب ما اشارت "سكاي نيوز"، يعتقد الأطباء أن المرأة تعرضت لمحاولة قتل فاشلة نفذها والداها خلال طفولتها، وقالوا إنهم لن يحاولوا إزالة الإبرة خشية أن يفاقم ذلك حالتها.

وقالت إدارة الصحة المحلية في منطقة سخالين الروسية النائية إنّ "مثل هذه الحالات كانت شائعة خلال سنوات المجاعة".

وأضافت أن والديها قررا على الأرجح التخلص من طفلتهما خلال الحرب العالمية الثانية، لأنها كانت تعيش مع إبرة يبلغ طولها ثلاثة سنتيمترات "منذ ولادتها".

ولفتت إلى أن هذه الطريقة كثيرا ما تُستخدم لإخفاء أدلة الجريمة.

وكان نقص الغذاء سائداً في جميع أنحاء الاتحاد السوفياتي خلال الحرب، وعاش الكثير من السكان في فقر مدقع.

وقالت إدارة الصحة المحلية "لقد اخترقت الإبرة الفص الجداري الأيسر، لكن لم يكن لها التأثير المقصود، إذ نجت الفتاة".

وأضافت أن المريضة لم تشكُ قط من الصداع بسبب الإصابة، ولم تكن تواجه أي خطر، لافتة إلى أن "حالتها تحت مراقبة الطبيب المعالج".

اخترنا لك
عن فيروس "هانتا".. بيان لوزارة الصحة!
2026-05-09
وللجمال.. إشارت سير! (فيديو)
2026-05-06
"زفة عرسان" بالجرافة! (فيديو)
2026-05-05
على متن "لينكولن".. الجنود الأميركيون يعتاشون على البيض! (صور)
2026-04-24
إشترك بنشرتنا الاخبارية
انضم الى ملايين المتابعين
Download Aljadeed Tv mobile application
حمّل تطبيقنا الجديد
كل الأخبار والبرامج في مكان واحد
شاهد برامجك المفضلة
تابع البث المباشر
الإلغاء في أي وقت
إحصل عليه من
Google play
تنزيل من
App Store
X
يستخدم هذا الموقع ملف الإرتباط (الكوكيز)
نتفهّم أن خصوصيتك على الإنترنت أمر بالغ الأهمية، وموافقتك على تمكيننا من جمع بعض المعلومات الشخصية عنك يتطلب ثقة كبيرة منك. نحن نطلب منك هذه الموافقة لأنها ستسمح للجديد بتقديم تجربة أفضل من خلال التصفح بموقعنا. للمزيد من المعلومات يمكنك الإطلاع على سياسة الخصوصية الخاصة بموقعنا للمزيد اضغط هنا
أوافق